Bị gãy răng cửa là điềm gì? Có lẽ ai trong chúng ta ít nhất một lần từng hoang mang khi bất ngờ thấy chiếc răng cửa của mình bị sứt mẻ hoặc thậm chí là rụng mất. Dù nhìn ở khía cạnh nào, việc bị gãy răng cửa là điềm gì vẫn là câu hỏi đáng để chúng ta suy ngẫm. Bởi lẽ, đôi khi những sự việc tưởng chừng nhỏ bé lại mang đến thông điệp sâu sắc về cuộc sống, tâm lý, và cách chúng ta chăm sóc bản thân. Vậy rốt cuộc, điềm báo từ chiếc răng gãy nói lên điều gì? Hãy cùng Footmia đi sâu khám phá để hiểu rõ hơn nhé.
Quan niệm dân gian về gãy răng cửa
Theo niềm tin truyền thống của người Á Đông, răng là biểu tượng của sức sống, phúc khí và mối liên kết giữa con người với gia đạo. Do đó, khi răng cửa bị gãy, nhiều người cho rằng đó không chỉ là chuyện ngẫu nhiên mà còn là điềm báo sắp xảy ra trong đời sống. Dưới đây là những cách lý giải phổ biến nhất mà dân gian vẫn lưu truyền.

Điềm báo về tài chính và công việc
Theo kinh nghiệm dân gian, bị gãy răng cửa là điềm gì liên quan trực tiếp đến tài chính. Người ta tin rằng răng cửa là “cửa ngõ của phú quý”, nên nếu nó bị sứt hay rụng, có thể bạn đang chuẩn bị đối diện với sự hao hụt tiền bạc, công việc trì trệ hoặc gặp trắc trở trong đầu tư. Đây được coi là lời cảnh tỉnh để bạn thận trọng hơn trong quản lý tài sản và các quyết định tài chính sắp tới.
Điềm báo về sức khỏe và tuổi thọ
Ở khía cạnh khác, việc gãy răng cửa cũng có thể là điềm báo nhắc bạn nên quan tâm đến sức khỏe. Dân gian quan niệm “răng chắc thì người mạnh”, vì vậy khi răng yếu, đó có thể là dấu hiệu cảnh báo cơ thể đang xuống sức hoặc cần nghỉ ngơi. Nếu bỗng dưng răng cửa lung lay hay gãy mà không có va chạm mạnh, hãy coi đó như lời nhắc nhở để chăm sóc bản thân chu đáo hơn.
Điềm báo về các mối quan hệ
Trong một số truyền thuyết xưa, bị gãy răng cửa là điềm gì còn gắn liền với chuyện tình cảm và gia đình. Người ta cho rằng đây là dấu hiệu cho thấy mối quan hệ giữa bạn và người thân, bạn bè hoặc người yêu đang gặp trục trặc, cần được hàn gắn. Đôi khi, điềm này không mang nghĩa xấu mà chỉ đơn giản là nhắc bạn nên lắng nghe, thấu hiểu và trân trọng những người bên cạnh nhiều hơn.
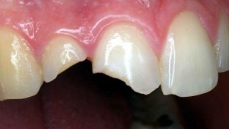
Góc nhìn khoa học: Vì sao răng cửa dễ bị gãy?
Không chỉ mang hàm ý tâm linh, hiện tượng gãy răng cửa còn có thể được lý giải rõ ràng bằng các nguyên nhân y học. Nếu bạn thắc mắc bị gãy răng cửa là điềm gì theo góc nhìn khoa học, câu trả lời nằm ở chính thói quen sinh hoạt và sức khỏe của răng miệng.
Nguyên nhân thường gặp
Răng cửa nằm ở vị trí trung tâm, chịu nhiều tác động khi ăn nhai hoặc va chạm. Những nguyên nhân phổ biến dẫn đến gãy răng gồm:
- Tai nạn, va chạm mạnh: Do răng cửa nằm phía trước, chỉ cần một cú ngã hoặc va đập là dễ bị sứt mẻ.
- Sâu răng và mảng bám: Khi lớp men răng bị tổn thương, răng trở nên yếu, dễ gãy khi cắn vật cứng.
- Nghiến răng khi ngủ: Hành động vô thức này tạo áp lực lên răng, khiến chúng mòn dần và gãy theo thời gian.
- Thiếu dưỡng chất: Chế độ ăn nghèo canxi hoặc vitamin D làm men răng yếu, không đủ bền chắc.
Hệ quả khi răng cửa bị gãy
Răng cửa không chỉ ảnh hưởng đến thẩm mỹ mà còn đóng vai trò quan trọng trong việc phát âm và nhai thức ăn. Khi bị gãy, bạn có thể gặp những hậu quả như:
- Mất tự tin khi giao tiếp.
- Khó nhai, gây ảnh hưởng tiêu hóa.
- Nguy cơ viêm nhiễm, đau nhức kéo dài.
- Răng bị xô lệch do mất khoảng trống.
Ý nghĩa trong giấc mơ: Mơ thấy gãy răng cửa là điềm gì?
Nếu bạn mơ thấy mình gãy răng cửa, đừng quá hoảng sợ. Giấc mơ này được giải thích theo nhiều hướng khác nhau tùy thuộc vào ngữ cảnh. Cùng xem bị gãy răng cửa là điềm gì khi xuất hiện trong giấc mơ nhé.

Mơ gãy răng cửa hàm trên
Theo quan niệm phong thủy, đây là giấc mơ báo hiệu sự thay đổi trong công việc hoặc học tập. Có thể bạn sắp gặp thử thách, nhưng đồng thời cũng là cơ hội để bước sang giai đoạn mới.
Mơ gãy răng cửa hàm dưới
Giấc mơ này đôi khi lại được coi là điềm lành. Nó cho thấy bạn sắp đón nhận tin vui, được quý nhân phù trợ hoặc có bước tiến thuận lợi trong tình cảm.
Mơ gãy nhiều răng cửa
Trái lại, nếu mơ thấy gãy nhiều răng cửa cùng lúc, điều này phản ánh tâm trạng bất an, lo lắng hoặc mệt mỏi trong thực tế. Đây là lời nhắc bạn nên dành thời gian nghỉ ngơi, cân bằng lại cuộc sống.
Gãy răng cửa dưới góc nhìn phong thủy và tâm linh
Trong phong thủy, mỗi chiếc răng đều chứa năng lượng riêng phản ánh vận mệnh của con người. Vì vậy, việc bị gãy răng cửa là điềm gì không thể xem nhẹ.
- Răng cửa bên trái: Thường gắn liền với tình cảm, có thể báo hiệu sự xa cách hoặc hiểu lầm trong mối quan hệ.
- Răng cửa bên phải: Liên quan đến công việc, báo hiệu những thay đổi hoặc thử thách đang đến gần.
- Cả hai răng cửa cùng gãy: Đây là điềm cảnh báo mất cân bằng giữa sự nghiệp và cuộc sống gia đình.
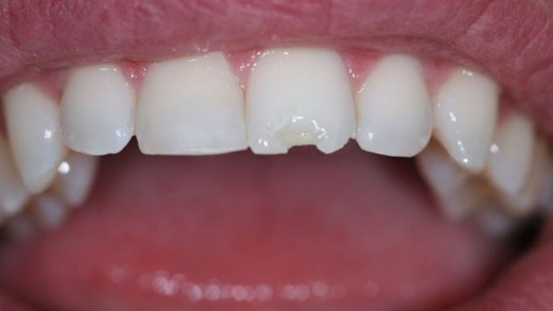
Cách ứng xử khi bị gãy răng cửa trong thực tế
Dù tin hay không tin vào điềm báo, khi răng cửa bị gãy thật sự, điều đầu tiên bạn cần làm là xử lý đúng cách để bảo vệ sức khỏe răng miệng.
Các bước sơ cứu tại nhà
- Giữ lại mảnh răng nếu có thể.
- Súc miệng với nước muối loãng để ngừa vi khuẩn.
- Tránh ăn nhai vùng răng bị tổn thương.
- Liên hệ ngay với nha sĩ để được thăm khám.
Giải pháp phục hình
- Trám răng thẩm mỹ: Dành cho gãy nhẹ.
- Dán veneer: Phục hồi thẩm mỹ nhanh chóng.
- Bọc sứ: Khi răng hư hại nặng.
- Cấy implant: Nếu răng gãy sâu đến chân, không thể giữ được.
FAQ: Giải đáp nhanh thắc mắc thường gặp
1. Bị gãy răng cửa là điềm gì – có xui không?
Không hẳn. Có thể là lời nhắc để bạn cẩn trọng hơn trong tài chính hoặc chăm sóc sức khỏe.
2. Mơ thấy gãy răng cửa có thật sự đáng lo?
Không. Giấc mơ thường phản ánh tâm lý lo âu, không mang ý nghĩa tiêu cực tuyệt đối.
3. Răng cửa bị gãy có thể phục hồi như cũ?
Có. Bác sĩ sẽ tư vấn giải pháp như trám, dán sứ, bọc sứ hoặc cấy ghép implant.
4. Làm sao để tránh bị gãy răng cửa?
Hạn chế cắn vật cứng, không nghiến răng khi ngủ và bổ sung canxi đầy đủ.
Lời kết
Tóm lại, bị gãy răng cửa là điềm gì – dù theo quan niệm tâm linh hay khoa học, đều chứa đựng những thông điệp sâu sắc. Nếu tin vào điềm báo, hãy coi đó là lời nhắc để sống thận trọng hơn. Nếu xét theo y học, hãy nhanh chóng điều trị để bảo vệ sức khỏe răng miệng. Hãy nhớ nụ cười đẹp luôn bắt đầu từ sự tự tin và chăm sóc đúng cách. Đừng quên đồng hành cùng Footmia để cập nhật thêm nhiều bài viết hữu ích về sức khỏe, phong thủy và đời sống tinh thần nhé.